Клинический случай

Особенности профилактики тромбоэмболических осложнений у пациента с ИБС и ХБП

Пациент К., 62 года

Плановый визит к врачу общей практики в поликлинике по месту жительства.

Активно жалоб не предъявляет.

  • Загрудинные боли в настоящее время не беспокоят.
  • При детальном расспросе отмечает повышенную утомляемость, шаткость при ходьбе.

Анамнез:

  • Длительное время страдает артериальной гипертонией. В анамнезе дислипидемия.
  • Шесть лет назад диагностирована ИБС. 1,6 года назад в плановом порядке выполнена ангиопластика и стентирование передней межжелудочковой ветви левой коронарной артерии и огибающей ветви.
  • В настоящее время принимает ацетилсалициловую кислоту 75 мг, бисопролол 5 мг, фиксированную комбинацию амлодипин/рамиприл 5 + 10 мг, розувастатин 20 мг.

Анамнез (2):

  • Сопутствующие заболевания: желчнокаменная болезнь, ремиссия.
  • Пациент продолжает курить по полпачки сигарет в день (стаж курения — с 28 лет).
  • Алкоголь, со слов пациента, не употребляет.
  • Аллергоанамнез: не отягощен.
  • Профессиональные вредности: в настоящее время не работает.

Данные объективного осмотра

    • Рост 177 см,
    • вес 84 кг,
    • индекс массы тела 26,5 кг/м2,
    • температура тела 36,5 °С.
  • Пациент ориентирован в месте, времени, собственной личности.
  • Кожные покровы — без особенностей, периферических отеков не выявлено.
  • В легких дыхание везикулярное, проводится во всех отделы, ЧДД 16 в мин.
    • ЧСС 62 уд/мин в покое.
    • АД на приеме: 132/78 мм рт. ст.
    • Тоны сердца ясные, ритмичные.
    • Живот мягкий, безболезненный,
    • печень не выступает за край реберной дуги.
  • Симптом поколачивания отрицательный с обеих сторон.
    • Кожные покровы нижних конечностей нормальной окраски, тактильная и болевая чувствительность сохранена.
    • При пальпации тыльной артерии стопы пульсация сохранена.

Лабораторные данные

  • Клинический анализ крови и мочи — без патологии
  • Анализ мочи на альбуминурию — без патологии
  • Биохимический анализ крови:
    • креатинин — 118 мкмоль/л (СКФ по CKD-EPI: 58мл/мин/1,73м2);
    • клиренс креатинина по Кокрофту–Голту 72 мл/мин;
    • глюкоза — 5,3 ммоль/л,
    • общий холестерин 3,9 ммоль/л,
    • ХС ЛПНП 1,8 ммоль/л,
    • ХС ЛПВП 1,1 ммоль/л,
    • триглицериды 1,2 ммоль/л,
    • калий — 4,7 ммоль/л,
    • натрий — 142 ммоль/л,
    • АЛТ 31 МЕ/мл (норма 5–36 МЕ/мл),
    • АСТ 31 МЕ/мл (норма 0–32 МЕ/мл),
    • КФК 104 МЕ/мл (норма 0–190 МЕ/мл);
    • мочевая кислота — 565,5 мкмоль/л (норма < 360 мкмоль/л)

Результаты инструментальных методов исследования

  • Электрокардиограмма
    • Ритм синусовый с ЧСС 61 в мин.
    • Резкое отклонение ЭОС влево, блокада передней ветви левой ножки п. Гиса.
  • Эхокардиография:
    • Признаки умеренного кальциноза аортального клапана.
    • Полости сердца не расширены.
    • Концентрическая гипертрофия миокарда левого желудочка.
    • Глобальная систолическая функция левого желудочка сохранена (фракция выброса 61%).
    • Зоны нарушения локальной сократимости не определяются.
    • Митральная регургитация 1 ст.; трикуспидальная регургитация 1–2 ст.; легочная регургитация 1 ст.; аортальная регургитация 1 ст.
    • Диастолическая дисфункция левого желудочка по 1-му типу.
    • Признаков легочной гипертензии не выявлено (СДЛА 25 мм рт. ст.).
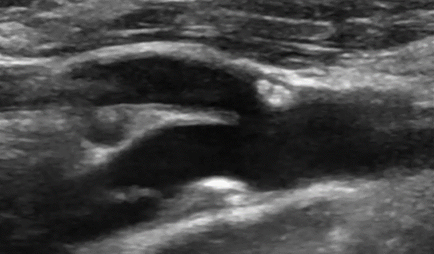
  • Триплексное сканирование брахиоцефальных артерий
    • атеросклероз внечерепных отделов магистральных артерий головы со стенозом в области каротидной бифуркации слева до 54%.
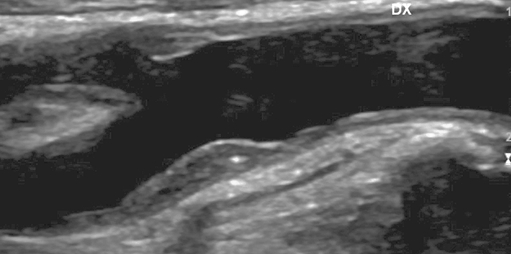
  • Триплексное сканирование артерий нижних конечностей
    • патологических изменений не выявлено.
    • Кровоток в магистральных артериях (общих, внутренних и наружных подвздошных, бедренных, подколенных, передних и задних большеберцовых, малоберцовых, артериях стопы) сохранен, фазный, симметричный.
    • Сосудистая стенка не утолщена, просвет артерий свободный, без признаков стеноза или окклюзии.
    • Гемодинамически значимых нарушений не обнаружено.

Пациент К., 62 года

Диагноз:

  • Ишемическая болезнь сердца: ангиопластика и стентирование передней межжелудочковой ветви левой коронарной артерии и огибающей ветви от 2023 г.
  • Гипертоническая болезнь III стадии. Контролируемая артериальная гипертензия. Очень высокий риск осложнений (риск 4). Целевое АД 130–139/70–79 мм рт. ст. Избыточная масса тела (ИМТ 26,5 кг/м2). Дислипидемия. Гипертрофия миокарда левого желудочка. Хроническая болезнь почек С3а.
  • Атеросклероз брахиоцефальных сосудов.
  • * Данные истории болезни пациента, описанного в настоящем материале, являются гипотетическими.
  • Настоящий материал предназначен исключительно для медицинских и фармацевтических работников.
Вперед

2000001592793 от 19.06.2025

Вопрос

Нуждается ли данный пациент в усилении антитромботической терапии?

кнопка
Нет
кнопка
Да

Вы ответили неправильно. Правильный ответ:

кнопка
Да

У пациентов со стабильной ИБС, имеющих высокий риск ишемических событий (у данного пациента: атеросклероз БЦА со стенозом 54%, ХБП С3а [СКФ 58 мл/мин]) и не имеющих высокого риска кровотечения, рекомендуется рассмотреть возможность присоединения к АСК второго антитромботического препарата.

Соответственно, для данного пациента крайне актуальна максимально возможная профилактика неблагоприятных коронарных и цереброваскулярных событий. И комплексное воздействие не только на тромбоцитарное звено, но и на коагуляционные процессы позволит максимально снизить риск атеротромботических осложнений.

  1. Клинические рекомендации «Стабильная ишемическая болезнь сердца» 2024.
Вперед

2000001592793 от 19.06.2025

Атеросклероз брахиоцефальных артерий

  • У пациентов с бессимптомным стенозом сонных артерий риск гомолатерального инсульта составляет в среднем 2–5% в год, у больных с наличием симптомного каротидного атеросклероза риск инсульта в течение двух лет даже при наличии оптимального медикаментозного лечения оценивается в 26% [1].
  • При сужении просвета сонных артерий менее 60% риск первого инсульта в среднем составляет 8%, при стенозе более 60% — 16,2% [2]. При стенозе просвета внутренней сонной артерии, превышающем 90%, частота инсульта увеличивается до 32–35% [3].
  • У пациентов с гемодинамически значимым стенозом каротидных артерий (≥ 70%) в 39–61% случаев обнаруживается ИБС и в 18–21% случаев — атеросклероз артерий нижних конечностей [4].
  1. O’Brien M., Chandra A. Carotid revascularization: risks and benefits. Vascular Health and Risk Man- agement. 2014;10:403-16. doi:10.2147/VHRM.S48923
  2. Inzitari D., Eliasziw M., Gates P. et al. The causes and risk of stroke in patients with asymptomatic in- ternal-carotid-artery stenosis. North American Symptomatic Carotid Endarterectomy Trial Collabora- tors. N Engl J Med. 2000;342(23):1693-700. doi: 10.1056/NEJM200006083422302
  3. Liapis C., Kakisis J., Kostakis A. Carotid stenosis: Factors affecting symptomatology. Stroke. 2001;32:2782-6.
  4. Aboyans V., Ricco J.B., Bartelink M.E.L. et al. ESC Scientific Document Group. 2017 ESC Guidelines on the Diagnosis and Treatment of Peripheral Arterial Diseases, in collaboration with the European Society for Vascular Surgery (ESVS). Eur Heart J. 2018;39(9):763-816. doi: 10.1093/eurheartj/ ehx095

Пациенты с ИБС и поражением других сосудистых бассейнов имеют наибольший риск СС-осложнений и нуждаются в дополнительной защите

Схема Однолетние исходы у пациентов с атеросклеротической болезнью.
  • ИБС — ишемическая болезнь сердца; СС — сердечно-сосудистый; ИМ — инфаркт миокарда;  ЗПА — заболевания периферических артерий; ЦВБ — цереброваскулярные болезни.
  • 1. Steg G. et al. JAMA 2007;297:1197–1206.

Лечение, направленное на профилактику сердечно-сосудистых осложнений: антитромботическая терапия

У пациентов со стабильной ИБС, имеющих высокий риск ишемических событий и не имеющих высокого риска кровотечения, рекомендуется рассмотреть возможность присоединения к АСК второго антитромботического препарата (ингибитора агрегации тромбоцитов: клопидогрела или прасугрела, или тикагрелора) или ривароксабана в дозе 2,5 мг × 2 раза. При этом соотношение пользы и риска продления такой терапии должно регулярно пересматриваться. EOK IIa A (УУР А, УДД 2)

Комментарий:

  • Под высоким ишемическим риском подразумевают наличие у пациента многососудистого поражения коронарных артерий (стенозы > 50%) в сочетании как минимум с одним из следующих признаков: сахарным диабетом, требующим приема медикаментов, перенесенным ИМ, атеросклеротическим поражением периферических артерий, хронической болезнью почек (ХБП) с рСКФ 15–59 мл/мин/1,73м2.
  • Под высоким риском кровотечения понимают наличие у больного внутричерепного кровоизлияния или другой внутричерепной патологии в анамнезе (кроме ишемического инсульта давностью более одного месяца), недавнего кровотечения из ЖКТ или анемии вследствие потери крови из ЖКТ, другой патологии ЖКТ, ассоциирующейся с повышенным риском кровотечения, печеночной недостаточности, геморрагического диатеза, старческого возраста и синдрома «хрупкости», ХБП, требующей диализа, или рСКФ < 15 мл/мин/1,73 м².
Стабильная ишемическая болезнь сердца.
  • * Данные истории болезни пациента, описанного в настоящем материале, являются гипотетическими.
  • Настоящий материал предназначен исключительно для медицинских и фармацевтических работников.
Вперед

2000001592793 от 19.06.2025

Вопрос

Какой стратегии усиления антитромботической терапии следует придерживаться у данного пациента?

кнопка
Добавить ривароксабан 2,5 мг 2 раза в сутки к аспирину
кнопка
Перевести на двойную антиагрегантную терапию (аспирин + клопидогрел или прасугрел, или тикагрелор)

Вы ответили неправильно. Правильный ответ:

кнопка
Добавить ривароксабан 2,5 мг 2 раза в сутки к аспирину

Комбинация аспирина и ривароксабана (2,5 мг 2 р/д) — преимущественный выбор для данного пациента, поскольку:

  • доказанно снижает риск инфаркта, инсульта и смерти (данные исследований COMPASS)1;
  • особенно эффективен при атеросклерозе и ХБП (СКФ 58 мл/мин допускает применение ривароксабана в указанной дозе)2.
  1. Eikelboom J.W., Connolly S.J., Bosch J. et al. COMPASS Investigators. Ri varoxaban with or without aspirin in stable cardiovascular disease. N Engl J Med. 2017;377(14):1319-1330. https://doi.org/10.1056/NEJMoa1709118
  2. ОХЛП Ксилтесс (таблетки 2,5 мг). Регистрационное удостоверение ЛП-№(004676)-(РГ-RU) 20.02.2024.
Вперед

2000001592793 от 19.06.2025

Достаточно ли только антиагрегантной терапии для улучшения прогноза жизни пациентов с ИБС?

Усиление антиагрегантной терапии не приводило к снижению риска смерти у пациентов с хронической ИБС

Таблица Пациенты с хронической ИБС без ФП.
  • * Анализ исследований вторичной профилактики с применением антитромбоцитарных препаратов.
  • Bhatt D.P. et al. N Engl J Med 2006:354:1706–1717; Bonaca MP et al, N Engl J Med2015;372:1791–1800; CAPRIE Steering Committee, Lancet1996;348:1329–1339; Antiplatelet Trialists' Collaboration, BMJ 1994;30:81-106

Варианты усиления терапии АСК вторым антитромботическим препаратом (2)

Комментарий:

  • В исследовании COMPASS тот же режим дозирования в сочетании с АСК сравнивался с одной АСК, а также с монотерапией ривароксабаном в дозе 5 мг два раза в день, у пациентов со стабильной ИБС или заболеванием периферических артерий. Применение «сосудистой» дозы ривароксабана вновь продемонстрировало снижение ишемических событий, в том числе снижение ССС, при одновременном увеличении риска преимущественно не жизнеугрожающих кровотечений.
  • К больным с высоким риском тромботических осложнений атеросклероза в исследовании COMPASS относили лиц, перенесших ИМ или имеющих многососудистый коронарный атеросклероз в сочетании с атеросклеротическим поражением других сосудистых бассейнов, возрастом ≥ 65 лет или как минимум с двумя из следующих факторов риска: курение, сахарный диабет, нетяжелая ХСН в анамнезе, нелакунарный ишемический инсульт в анамнезе, ХБП с расчетной СКФ менее 60 мл/мин/1,73м2.
Стабильная ишемическая болезнь сердца.

В исследование COMPASS включался широкий круг пациентов с хронической ИБС и/или ЗПА

Таблица Поэтапный анализ ключевых показателей эффективности и безопасности.
  • § Стеноз ≥ 50% в двух или более коронарных артериях, подтвержденный при инвазивной коронароангиографии или неинвазивных лучевых исследованиях или нагрузочных тестах (например, с физической или фармакологической нагрузкой), указывающих на значительную ишемию в двух или более коронарных бассейнах, или в 1 коронарном бассейне, если по крайней мере еще один бассейн был реваскуляризирован.
  • 1. Bosch J. et al. Can J Cardiol 2017;33:1027–1035.

При добавлении ривароксабанаснижение риска СС-событий сохранялось во времени; повышение риска кровотечений отмечалось только в 1-й год

Таблица Поэтапный анализ ключевых показателей эффективности и безопасности.
  • * СС-смерть, ИМ, инсульт.
  • Connolly S.J.et al. Lancet 2017; doi:10.1016/S0140-6736(17)32816-7

Пациент К., 62 года

Коррекция терапии

  • Отказ от курения. При необходимости — никотинзаместительная терапия.
  • Коррекция рациона питания с ограничением потребления животных жиров.
  • Оптимизация антитромботической терапии: добавление к ацетилсалициловой кислоте 75 мг/сут ривароксабана — 2,5 мг × 2/сут.
  • Интенсификация гиполипидемической терапии: замена розувастатина 20 мг на фиксированную комбинацию розувастатин + эзетимиб 20 + 10 мг.
  • Продолжение антиангинальной, антигипертензивной терапии.

Значение данного клинического случая

  • У пациента 62 лет с высоким кардиоваскулярным риском (ИБС в анамнезе, состояние после стентирования коронарных артерий 1,6 года назад, атеросклероз брахиоцефальных артерий со стенозом 54%, курение, ХБП С3а) на фоне контролируемой гипертензии и дислипидемии сохраняется повышенный риск тромботических осложнений, несмотря на текущую терапию (аспирин, статин, антигипертензивные препараты).
  • Ключевыми особенностями являются: наличие гемодинамически значимого стеноза сонной артерии, что увеличивает риск инсульта, а также умеренно сниженная функция почек (СКФ 58 мл/мин), требующая осторожности при выборе антитромботической терапии.
  • Ривароксабан 2,5 мг × 2 р/д + аспирин 75 мг/сут — является оптимальной стратегией для долгосрочной профилактики в данном случае.
  • * Данные истории болезни пациента, описанного в настоящем материале, являются гипотетическими.
  • Настоящий материал предназначен исключительно для медицинских и фармацевтических работников.
Вперед

2000001592793 от 19.06.2025